Medicina
Enfermedades autoinmunes: causas, síntomas y avances científicos en su tratamiento
Las enfermedades autoinmunes son un grupo de trastornos en los que el sistema inmunitario, encargado de defendernos de virus y bacterias, se desorienta y ataca por error a los propios tejidos del organismo. Se estima que más de 400 millones de personas en el mundo conviven con alguna de estas patologías, y la cifra va en aumento. Pero ¿qué son exactamente, cuáles son sus síntomas y qué avances científicos hay en su tratamiento?
El sistema inmunitario funciona como un ejército de defensa. Sin embargo, en las enfermedades autoinmunes este ejército pierde la capacidad de diferenciar entre lo propio y lo ajeno. Como resultado, genera inflamación crónica y daño en órganos y tejidos.
Algunas de las enfermedades autoinmunes más frecuentes son:
-Artritis reumatoide: afecta a las articulaciones.
-Lupus eritematoso sistémico: puede dañar piel, riñones, corazón y otros órganos.
-Esclerosis múltiple: deteriora la mielina del sistema nervioso central.
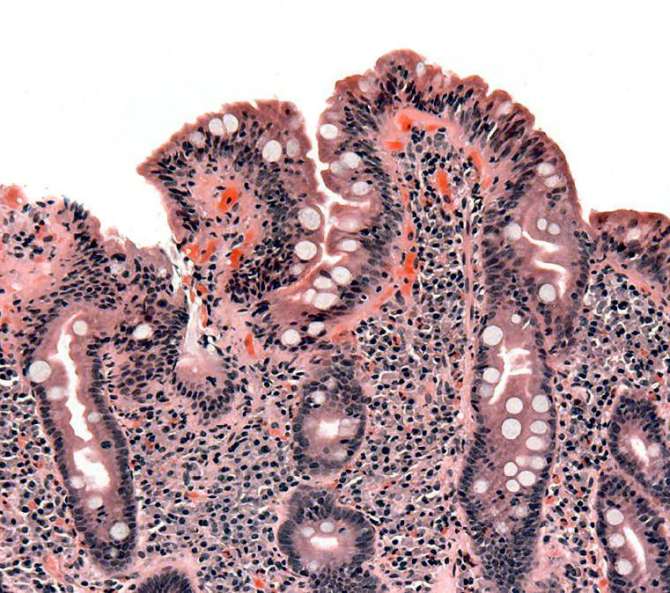
-Enfermedad celíaca: reacción inmunitaria al gluten que daña el intestino delgado.
-Diabetes tipo 1: el sistema inmune destruye las células productoras de insulina.
Síntomas más comunes
Aunque varían según la enfermedad, existen signos frecuentes que pueden alertar:
-Fatiga persistente.
-Dolor e inflamación en articulaciones.
-Fiebre recurrente sin causa aparente.
-Alteraciones digestivas.
-Erupciones cutáneas.
La complejidad está en que muchas veces los síntomas son difusos y se confunden con otras patologías, lo que retrasa el diagnóstico.
![[Img #76953]](https://noticiasdelaciencia.com/upload/images/10_2025/8021_coeliac_path.jpg)
(Foto: Wikimedia Commons)
Factores de riesgo
Los científicos coinciden en que la aparición de enfermedades autoinmunes depende de una combinación de factores:
-Genética: antecedentes familiares aumentan la predisposición.
-Factores ambientales: infecciones, exposición a químicos o contaminación.
-Hormonas: las mujeres tienen mayor prevalencia, probablemente por la influencia hormonal.
-Estilo de vida: el estrés crónico, la alimentación poco saludable y el sedentarismo pueden influir en la aparición y gravedad de estas enfermedades.
Avances científicos y tratamientos actuales
En la actualidad, no existe una cura definitiva para la mayoría de las enfermedades autoinmunes. Sin embargo, la investigación médica avanza a gran velocidad. Entre los enfoques más prometedores destacan:
-Terapias biológicas: medicamentos que bloquean moléculas específicas del sistema inmunitario para reducir la inflamación.
-Medicina personalizada: análisis genéticos y moleculares que permiten diseñar tratamientos adaptados a cada paciente.
-Microbiota intestinal: cada vez más estudios apuntan a que la salud intestinal juega un papel clave en la regulación inmunológica.
-Inmunoterapia: estrategias que buscan reeducar al sistema inmune para que deje de atacar los propios tejidos.
Cómo mejorar la calidad de vida
Además del tratamiento médico, adoptar hábitos saludables puede marcar una gran diferencia:
-Seguir una alimentación equilibrada rica en frutas, verduras y ácidos grasos omega-3.
-Mantener una rutina de ejercicio moderado.
-Controlar el estrés con técnicas como meditación o yoga.
-Dormir al menos 7-8 horas diarias.



