Medicina
Una sustancia producida por la microbiota intestinal podría ralentizar enfermedades mitocondriales
Un estudio en ratones revela que el mal funcionamiento de las mitocondrias (las estructuras celulares encargadas de producir energía) altera el equilibrio de la microbiota intestinal, es decir, de los microorganismos que viven en el intestino. Entre estas alteraciones se encuentra la reducción de butirato, una sustancia producida por bacterias intestinales y que es vital para la salud.
Los resultados de esta investigación muestran que restaurar los niveles adecuados de esta sustancia mejora la función intestinal, la salud y la supervivencia de los modelos animales con enfermedades mitocondriales.
Las enfermedades mitocondriales constituyen una clase de enfermedades raras provocadas por mutaciones genéticas que impiden el correcto funcionamiento de las mitocondrias. Esta alteración en los orgánulos encargados de suministrar la energía necesaria para la actividad celular puede afectar a órganos de alto consumo energético, como el cerebro, el corazón o los músculos. Como consecuencia del mal funcionamiento de las mitocondrias, las células de estos órganos reciben menos energía, lo que puede dar lugar a síntomas como fatiga extrema, debilidad muscular o envejecimiento prematuro. Se trata de enfermedades que afectan aproximadamente a una de cada 5.000 personas y que actualmente no cuentan con un tratamiento para su cura.
La nueva investigación revela una interacción entre el funcionamiento de las mitocondrias y las bacterias intestinales que allana el camino para nuevas terapias basadas en la microbiota, que permitan combatir las enfermedades mitocondriales.
“Cuando las mitocondrias no funcionan bien, también se debilita la barrera intestinal, lo que altera el equilibro de la microbiota, es decir, de los microorganismos que viven en el intestino. Esto es muy problemático porque dichos microorganismos cumplen funciones importantes para la salud. Protegen el organismo impidiendo que bacterias o sustancias potencialmente dañinas del intestino pasen a la sangre”, explica María Mittelbrunn, coautora del estudio e investigadora del Centro de Biología Molecular Severo Ochoa (CBM, entidad mixta del Consejo Superior de Investigaciones Científicas (CSIC) y de la Universidad Autónoma de Madrid (UAM). en España todas estas instituciones.
La alteración de la microbiota provocada por las mitocondrias puede generar varios problemas de salud al mismo tiempo, un fenómeno conocido como multimorbilidad. Para estudiar este proceso, el equipo investigador desarrolló un modelo de ratón con alteraciones mitocondriales: “Observamos que estos animales presentaban una barrera intestinal debilitada y, como consecuencia, una microbiota intestinal desequilibrada, con menos bacterias beneficiosas de lo normal”, explica Enrique Gabandé Rodríguez, investigador del CBM y coautor del trabajo.
Como resultado, el equipo investigador comprobó que el desequilibro intestinal se traducía en una menor producción de butirato. Se trata de una sustancia generada por la microbiota que es esencial para mantener la salud del intestino y el correcto funcionamiento de diversos procesos metabólicos relacionados con la salud intestinal, energética e inmunológica. Ante esta evidencia, la investigación se centró en cómo restaurar la producción de butirato para comprobar sus efectos beneficiosos en los modelos animales afectados por alteraciones mitocondriales.
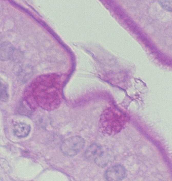
![[Img #78452]](https://noticiasdelaciencia.com/upload/images/04_2026/7594_una-sustancia-producida-por-la-microbiota.jpg)
Células caliciformes del intestino (en rosa) durante el proceso de secreción de la capa protectora de mucus. (Foto: Enrique Gabandé / Manuel Montero / CBM)
En un primer experimento, los investigadores trasplantaron microbiota intestinal sana a los ratones con enfermedad mitocondrial. “Este procedimiento consiste en transferir bacterias intestinales de individuos sanos para recuperar el equilibrio de la microbiota. El tratamiento permitió restaurar los niveles de butirato y aumentó de forma significativa la esperanza de vida de los animales”, explica Manuel Montero Gómez de las Heras, también investigador del CBM y coautor del estudio.
Posteriormente, el equipo investigador probó una estrategia más sencilla: añadir tributirina a la dieta, una sustancia que el organismo puede transformar en butirato. Los resultados mostraron que este tratamiento frenaba la pérdida de peso de los animales, mejoraba su fuerza muscular y su función renal, y prolongaba su supervivencia.
Además, “observamos que el butirato provoca cambios en el funcionamiento de las células intestinales que ayudan a reforzar la barrera intestinal y a reducir el daño celular asociado al estrés oxidativo, un proceso en el que se acumulan moléculas muy reactivas que pueden dañar distintos componentes de las células”, añade Montero.
Según los investigadores, los resultados ponen de manifiesto la importancia de la relación entre las mitocondrias y la microbiota intestinal en la aparición de enfermedades asociadas al mal funcionamiento de las mitocondrias. Además, sugieren que estrategias destinadas a recuperar sustancias beneficiosas producidas por la microbiota intestinal, como el butirato, podrían abrir nuevas vías para mejorar la salud de los pacientes.
El estudio ha contado con la colaboración de la Universidad de Michigan en Estados Unidos, el Instituto de Investigación en Ciencias de la Alimentación (CIAL, dependiente del CSIC y de la UAM) y el Centro Nacional de Investigaciones Cardiovasculares (CNIC) en España.
El estudio se titula “Butyrate extends health and lifespan in mice with mitochondrial deficiency”. Y se ha publicado en la revista académica Nature Communications. (Fuente: CBM / CSIC)



