Viernes, 10 de Octubre de 2025

Actualizada Viernes, 10 de Octubre de 2025 a las 17:09:40 horas

Tienes activado un bloqueador de publicidad

Intentamos presentarte publicidad respectuosa con el lector, que además ayuda a mantener este medio de comunicación y ofrecerte información de calidad.

Por eso te pedimos que nos apoyes y desactives el bloqueador de anuncios. Gracias.

Continuar...

Jueves, 13 de Junio de 2013
Biología

Se demuestra de forma definitiva que las algas verdes pueden comer bacterias

Unos investigadores han captado imágenes de algas verdes alimentándose de bacterias. Este comportamiento anteriormente ya se había sugerido, pero, hasta ahora, no tenía el respaldo de una evidencia microscópica clara.

El equipo de Eunsoo Kim del Museo Americano de Historia Natural en Nueva York, y Shinichiro Mauyama del Instituto Nacional de Biología Básica en Okazaki, Japón, se valió de la Microscopía Electrónica de Transmisión (TEM), así como de experimentos de coloración y alimentación, para obtener imágenes concluyentes que muestran cómo un alga verde del género Cymbomonas se alimenta de bacterias.

El alga atrae a las células bacterianas hacia un conducto tubular a través de una apertura similar a una boca, y transporta estas partículas de alimento hacia una gran vacuola ácida donde tiene lugar la digestión.

La complejidad de este sistema de alimentación en una alga fotosintética moderna probablemente descienda de los ancestros de las algas verdes y de las plantas terrestres, y pudo haber desempeñado un papel importante en la evolución de los primeros eucariotas fotosintéticos, los precursores de plantas como los árboles y arbustos que cubren hoy la Tierra.

En las algas verdes y las plantas terrestres, la fotosíntesis, o la conversión de luz en alimento, se lleva a cabo mediante una estructura especializada de la célula conocida como cloroplasto. El origen de esta estructura está vinculado con la endosimbiosis, un proceso en el cual un eucariota unicelular (un organismo unicelular que contiene un núcleo) captura una cianobacteria fotosintética de vida independiente pero no la digiere, lo que acaba permitiendo que se convierta en un cloroplasto. Sin embargo, los mecanismos específicos de alimentación para iniciar el proceso han sido desconocidos en su mayor parte hasta ahora.

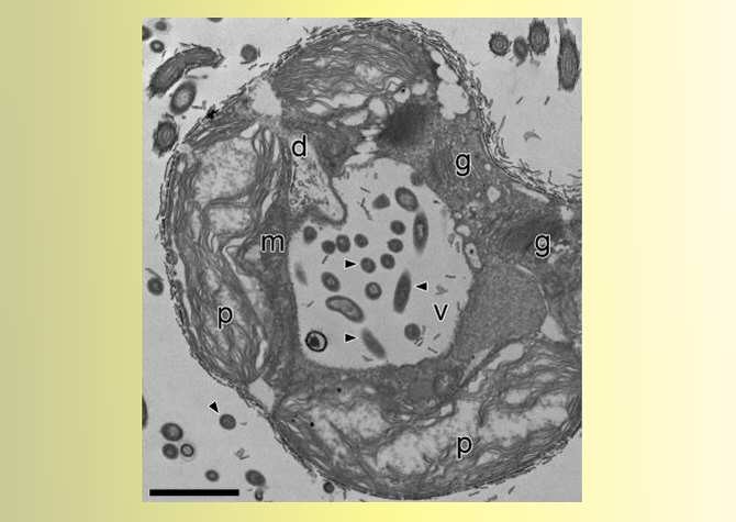
[Img #14065]
El alga verde Cymbomonas alimentándose de bacterias. Una gran vacuola (v) contiene células bacterianas. La imagen también muestra el conducto tubular (d) que transporta el alimento hacia la vacuola. Otras estructuras representadas son plástidos / cloroplastos (p), una mitocondria (m), y Aparatos de Golgi (g). La línea de escala representa 2 micrómetros. (Imagen: AMNH / Eunsoo Kim / Shinichiro Mauyama)

El nuevo estudio permite por tanto vislumbrar cómo esos ancestros de hace más de mil millones de años pudieron haber adquirido células fotosintéticas de vida inicialmente independiente. Se cree que éste pudo ser un primer paso crítico en la evolución de las algas y las plantas fotosintéticas terrestres, las cuales, a su vez, contribuyeron al incremento de los niveles de oxígeno en la atmósfera de la Tierra y en el mar, proporcionando una de las condiciones necesarias para el surgimiento de animales y su evolución.

Información adicional

[swf object]

Copyright © 1996-2022 Amazings® / NCYT® | (Noticiasdelaciencia.com / Amazings.com). Todos los derechos reservados.

Depósito Legal B-47398-2009, ISSN 2013-6714 - Amazings y NCYT son marcas registradas. Noticiasdelaciencia.com y Amazings.com son las webs oficiales de Amazings.

Todos los textos y gráficos son propiedad de sus autores. La reproducción está permitida solo si se incluye el crédito de la fuente (NCYT Amazings) y un enlace dofollow hacia la noticia original.

Excepto cuando se indique lo contrario, la traducción, la adaptación y la elaboración de texto adicional de este artículo han sido realizadas por el equipo de Amazings® / NCYT®.

Con tu cuenta registrada

Escribe tu correo y te enviaremos un enlace para que escribas una nueva contraseña.